Your share could raise $30
Before you go, did you know that simply by sharing this campaign, you could help it raise $30? It's an effective way to support the cause.
Share this campaign No thanksHeadrock Dogs Rescue Association hasn't added a story.
One-year-old Peggy has been enduring agonizing pain in her back leg for an extended period, a distressing situation that initially baffled us and local veterinarians alike. Our vets had no x-ray facilities which meant they were unable to accurately diagnose the underlying issue. A simple x-ray would have told them immediately that Peggy had a fractured femur bone head. Instead they believed she had a straightforward case of joint inflammation which was treated with medication which offered no relief from her suffering.

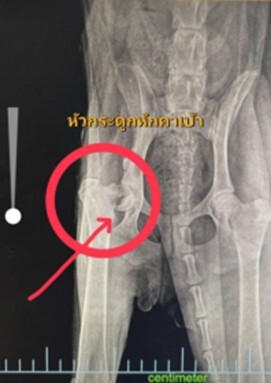
Greatly concerned by Peggy’s escalating and unexplained agony, we made the decision to drive her a considerable distance – over a hundred kilometers – to a specialized veterinary clinic. This journey, though arduous for her, proved to be absolutely critical. The moment Peggy was positioned for an X-ray, the source of her unbearable pain was immediately and unequivocally revealed: a fractured femur bone head.

This clear diagnosis marked an undeniable turning point in Peggy distressing ordeal. The X-ray image, finally provided the long-awaited answer to why even the most gentle touch to her back leg had been agonizing for her. She snapped at us every time we tried to touch it. What had been a perplexing, heartbreaking mystery surrounding her persistent discomfort was now definitively solved. We could now look forward to Peggy finally receiving the precise, targeted treatment she so desperately needed to address this severe fracture. It was the first real step towards her recovery and, most importantly, towards alleviating her profound pain.

This specific type of injury, a fractured femur bone head, is typically associated with major, high-impact trauma such as being hit by a car or experiencing a significant fall from a considerable height. However, Peggy lives safely within our healing center, a secure environment where she has no access to the outside area, completely eliminating the possibility of a vehicular accident. It’s more likely that Peggy, a vibrant, one-year-old with boundless energy, suffered this accident during one of her play sessions with her young dog friends.
The veterinary surgeon removed the smaller, fractured bone fragment while carefully preserving the main portion of the fractured femur head. This specific approach aims to allow the body’s remarkable ability to regenerate bone, anticipating that new bone will gradually form to fill the cavity left by the removed fragment, providing stability and function to the limb.

Peggy underwent close and careful observation at the specialized clinic for the next week. The dedicated staff diligently monitored her for any signs of lingering pain and, critically, for potential infection, which is always a concern after any surgical intervention. Happily, she made steady progress allowing us to bring her back to our Healing Centre.
However, this is far from a closed chapter in Peggy’s recovery journey. The surgery was just the first crucial step. Ahead lies a period of extensive rehabilitation care, which will be paramount to her regaining full function. This will involve strictly limited movement initially, allowing the fragile healing process to proceed undisturbed and the new bone to properly form. Following this initial phase, she will gradually embark on a regimen of gentle physiotherapy. This tailored program will be designed to restore strength, improve range of motion, and ensure her back leg can regain its full, pre-injury mobility, enabling her to return to her energetic and playful self.

Peggy now needs your help. This essential, life-changing surgery, while critical for Peggy’s well-being, comes with a significant financial burden. The estimated cost for her procedure is around $400 USD, £300 GBP, €342 EUR, $610 AUD, or approximately 13,000 Thai Baht. This is a substantial expense that places considerable strain on our budget but Peggy is worth every dollar. Any financial contribution you can offer, no matter the size, would be deeply appreciated and directly impact Peggy’s recovery.
Your support means everything us and, of course, to Peggy. It would significantly help alleviate our worries and the financial pressure we’re facing during this incredibly difficult time. From the bottom of our hearts, thank you for any assistance you can provide to help Peggy get back on her 4 paws.
Highlights
See all activity6Activity
Set as ?
The campaign video will appear in social media and email.
The campaign cover picture will appear in social media and email.
The will appear at the top of your campaign page and in social media and email.
Reset ?
It will be removed from the top of your campaign and won't be used as default in social media and email. The will remain in the media gallery.
Share
Embed
Share a link
Delete update
Delete this story update?
Any pictures or videos will remain in the campaign's media gallery.
Report campaign
Report submitted
Thank you. We take reports like yours very seriously. Our goal is to keep the community safe.
Please know that we may contact you for more information, but that we won't notify you personally of our decision. If the campaign remains available within a few days, it's likely that we determined it not to be in violation of our policies.
Thank you. We've already received your previous report. If the campaign remains available within a few days, it's likely that we determined it not to be in violation of our policies.
Tell us about the problem. Please fill in both fields below.
Record a video
Upload a video
Nothing grabs attention for your cause like a personal video. Take a minute or two to record one now. Record a short video message of support. Or upload one from your device. You can preview or redo your video before you post it.
Nothing grabs attention for your cause like a personal video. Upload a short video message of support. Upload a short video message of support. Or record one right now.
- Most effective video length: about a minute.
- Maximum length: 5 min.
- You can preview or redo your video before you post it.
Heads up! The existing video will be replaced.
Email your friends
Join our team
Your endorsement banner
Use your endorsement banner to tell why our cause matters to you. Such personal endorsements are proven to increase campaign contributions. When enabled, your endorsement banner appears at the top of the campaign for everyone who visits a link you shared.
You can always adjust your endorsement from the campaign Share page—even if it's been disabled.
Your message
Tell people why our cause matters to you. Your personal message will encourage others to help. Easy, effective, optional.
Say it in video
Short personal videos by supporters like you are incredibly powerful. Record one right now and you'll help us raise more money. Easy, optional, effective.
Add a personal goal
Set a personal fundraising goal. You'll encourage more contributions if you do. And rest easy. There's no obligation to achieve your goal or bad consequences if you don't. Easy, optional, effective.
We have a video!
Video thumbnail
We'd love to show you our campaign video. Want to take a look?
, you're already on the team.
