Alejandro Estevez Gonzalez hasn't added a story.
Anabella Estévez González de Villagrán, una mujer valiente y
esforzada, ha enfrentado todos los retos y procesos de su vida con la
fuerza cimentada en su Fe inquebrantable en Nuestro Señor.
El 4 de octubre del año 2018 fue diagnosticada con
adenocarcinoma de mama derecha (cáncer de mama).
Ante tan impactante diagnóstico, a sus 32 años, Anabella nunca
se rindió y como toda una guerrera enfrentó su tratamiento:
inició con dos cirugías de mama, en las que se extrajeron un
cuarto de la mama derecha (en la que se encontraba el tumor), el
ganglio centinela y los seis ganglios subsiguientes.
Posteriormente, inició su tratamiento, sometiéndose a 4 ciclos
de quimioterapia con intervalos de 21 días, 18 sesiones de
radioterapia (una diaria) y durante un año 17 bloqueos con el
medicamento Trastuzumab y Taxus, con los que se esperaba bloquear la
producción de las células cancerosas. Incluso, como apoyo a ese
bloqueo con medicamentos, se realizó una histerectomía completa.
Todos los tratamientos tuvieron sus efectos secundarios, pero
nunca minaron su fe, autoestima y valor. Desgraciadamente Anabella es
productora de las hormonas de dicho adenocarcinoma lo que la ciencia
denomina como HER2.
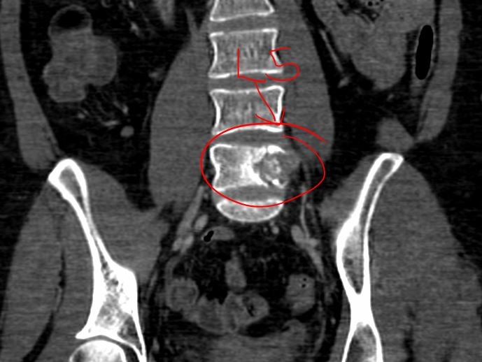
Dos años después, a tres meses de haber finalizado sus
bloqueos, nuevamente en el mes de octubre del presente año, un
nuevo diagnóstico determina que el tratamiento anterior falló y
ahora debe enfrentar que el diagnóstico inicial se ha extendido a 1
vértebra de su columna vertebral y a 2 ganglios más del lado derecho
de la mama afectada.
En
esta ocasión Anabella nos necesita más que nunca. Por lo que hoy nos
unimos a su batalla espiritual, emocional y sobre todo a su batalla económica.
Por lo que estamos organizando actividades de recaudación que
contribuyan a darle el acompañamiento necesario para sufragar los
gastos que requiere para su intervención de columna, de ganglios,
medicamentos necesarios para el bloqueo radical de la producción del HER2,
Anabella debe realizarse de manera inmediata y exámenes con
tecnología nuclear, que en esta oportunidad deberá realizarse
mensualmente, para prevenir a tiempo algún cambio celular y su rehabilitación.
Las próximas Intervenciones quirúrgicas están programadas en
noviembre y necesitamos recaudar todo lo posible para poder sufragar
las deudas que provengan a base de esta situación.
Anabella sigue soñando con que esta pesadilla termine y con la misma Fe y fortaleza que la caracteriza, está iniciando nueva su batalla y nosotros, su familia, solicitamos y agradecemos se unan a esta causa.
Ayúdanos
donando para esta causa noble. Anabella siempre ha estado cuidando y
apoyando a los demás. Es hora de que la apoyemos a ella.
Muchas gracias y que Dios los bendiga por apoyarnos en esta causa!
Highlights
See all activity10Activity
Set as ?
The campaign video will appear in social media and email.
The campaign cover picture will appear in social media and email.
The will appear at the top of your campaign page and in social media and email.
Reset ?
It will be removed from the top of your campaign and won't be used as default in social media and email. The will remain in the media gallery.
Share
Embed
Share a link
Delete update
Delete this story update?
Any pictures or videos will remain in the campaign's media gallery.
Report campaign
Report submitted
Thank you. We take reports like yours very seriously. Our goal is to keep the community safe.
Please know that we may contact you for more information, but that we won't notify you personally of our decision. If the campaign remains available within a few days, it's likely that we determined it not to be in violation of our policies.
Thank you. We've already received your previous report. If the campaign remains available within a few days, it's likely that we determined it not to be in violation of our policies.
Tell us about the problem. Please fill in both fields below.
Record a video
Upload a video
Nothing grabs attention for your cause like a personal video. Take a minute or two to record one now. Record a short video message of support. Or upload one from your device. You can preview or redo your video before you post it.
Nothing grabs attention for your cause like a personal video. Upload a short video message of support. Upload a short video message of support. Or record one right now.
- Most effective video length: about a minute.
- Maximum length: 5 min.
- You can preview or redo your video before you post it.
Heads up! The existing video will be replaced.
Email your friends
Join our team
Your endorsement banner
Use your endorsement banner to tell why our cause matters to you. Such personal endorsements are proven to increase campaign contributions. When enabled, your endorsement banner appears at the top of the campaign for everyone who visits a link you shared.
You can always adjust your endorsement from the campaign Share page—even if it's been disabled.
Your message
Tell people why our cause matters to you. Your personal message will encourage others to help. Easy, effective, optional.
Say it in video
Short personal videos by supporters like you are incredibly powerful. Record one right now and you'll help us raise more money. Easy, optional, effective.
Add a personal goal
Set a personal fundraising goal. You'll encourage more contributions if you do. And rest easy. There's no obligation to achieve your goal or bad consequences if you don't. Easy, optional, effective.
We have a video!
Video thumbnail
We'd love to show you our campaign video. Want to take a look?
, you're already on the team.
