Alejandro Estevez Gonzalez hasn't added a story.
Anabella Estévez González de Villagrán, a brave and hard-working woman, has faced all challenges and processes of her life with strength based on her unwavering Faith in Our Lord.
On October 4 th 2018, she was diagnosed with adenocarcinoma (breast cancer) on her right breast. Faced with such a shocking diagnosis, at 32, Anabella never gave up and like a warrior faced her treatment: It began with two breast surgeries, in which a quarter of the right breast (were the tumor was located), the sentinel node and the subsequent six nodes were removed.
Subsequently, she followed her treatment undergoing 4 cycles of chemotherapy with intervals of 21 days, 18 radiotherapy sessions (one daily) and for a year 17 medicinal blockages with the drug Trastuzumab and Taxus, with which it was expected to block the production of cancerous cells. Also, a complete hysterectomy was even performed to support this medicinal blockage. Unfortunately, Anabella is a producer of the hormones of this adenocarcinoma, what science calls HER2.
All the treatments had their side effects, but they never undermined her faith, self-esteem and courage.
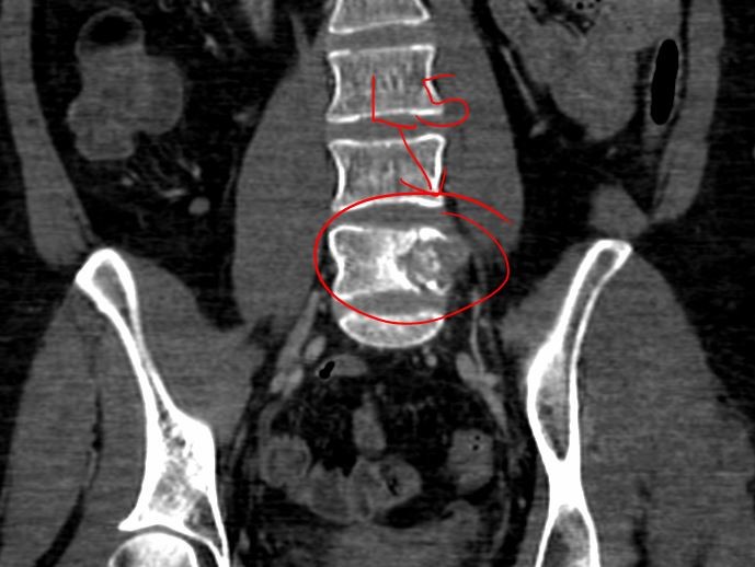
Two years later (2020) and 3 months after finishing her last blockage treatment for the adenocarcinoma (October) a new diagnosis has determined that the previous treatment failed and now Anabella must face the fact that the cancer has spread to 1 vertebra of her spine and 2 more nodes on the right side of the affected breast.
This time Anabella needs us more than ever. So that we can join her spiritual, emotional and over all her economic battle.

This is the reason why we are organizing several activities and fund raisers that contribute to help giving her the necessary support to defray the expenses of her spinal intervention, lymph nodes, and all medications necessary for the radical blockage of the production of HER2 adenocarcinoma hormones.
Anabella must carry out immediately examinations with nuclear technology, which this time must be carried out monthly, to prevent any cellular changes and their rehabilitation in time.
The next surgical interventions are scheduled in November and we need to raise everything possible to be able to cover the debts that arise from this situation.

Anabella continues to dream that this nightmare will end and with the same faith and strength that characterizes her, she is starting her battle anew and we, her family, ask and appreciate that you join and help us by donating to this noble cause.
Anabella has always been caring for and supporting others. Now it is time for us to support her. Thank you very much and God bless you for supporting us in this cause!
Highlights
See all activity31Activity
Set as ?
The campaign video will appear in social media and email.
The campaign cover picture will appear in social media and email.
The will appear at the top of your campaign page and in social media and email.
Reset ?
It will be removed from the top of your campaign and won't be used as default in social media and email. The will remain in the media gallery.
Share
Embed
Share a link
Delete update
Delete this story update?
Any pictures or videos will remain in the campaign's media gallery.
Report campaign
Report submitted
Thank you. We take reports like yours very seriously. Our goal is to keep the community safe.
Please know that we may contact you for more information, but that we won't notify you personally of our decision. If the campaign remains available within a few days, it's likely that we determined it not to be in violation of our policies.
Thank you. We've already received your previous report. If the campaign remains available within a few days, it's likely that we determined it not to be in violation of our policies.
Tell us about the problem. Please fill in both fields below.
Record a video
Upload a video
Nothing grabs attention for your cause like a personal video. Take a minute or two to record one now. Record a short video message of support. Or upload one from your device. You can preview or redo your video before you post it.
Nothing grabs attention for your cause like a personal video. Upload a short video message of support. Upload a short video message of support. Or record one right now.
- Most effective video length: about a minute.
- Maximum length: 5 min.
- You can preview or redo your video before you post it.
Heads up! The existing video will be replaced.
Email your friends
Join our team
Your endorsement banner
Use your endorsement banner to tell why our cause matters to you. Such personal endorsements are proven to increase campaign contributions. When enabled, your endorsement banner appears at the top of the campaign for everyone who visits a link you shared.
You can always adjust your endorsement from the campaign Share page—even if it's been disabled.
Your message
Tell people why our cause matters to you. Your personal message will encourage others to help. Easy, effective, optional.
Say it in video
Short personal videos by supporters like you are incredibly powerful. Record one right now and you'll help us raise more money. Easy, optional, effective.
Add a personal goal
Set a personal fundraising goal. You'll encourage more contributions if you do. And rest easy. There's no obligation to achieve your goal or bad consequences if you don't. Easy, optional, effective.
We have a video!
Video thumbnail
We'd love to show you our campaign video. Want to take a look?
, you're already on the team.
